Головные боли — распространенное состояние, с которым большинство людей неоднократно сталкиваются на протяжении жизни. Возникать они могут по разным причинам. Недавний эпизод из практики американских врачей показал, что в виде мигреней способны проявляться и паразитарные инфекции.
За помощью к медикам обратился 52-летний житель Флориды с жалобами на усилившиеся в последние четыре месяца мигрени. По словам пациента, боль концентрировалась в области затылка с обеих сторон и снять ее с помощью привычных лекарств не удавалось. Мужчина также страдал сахарным диабетом и ожирением. Других примечательных деталей в анамнезе и дополнительных неврологических симптомов вроде судорог или асимметрии лица врачи не отметили. Единственное, их насторожила упомянутая больным любовь к недожаренному бекону.
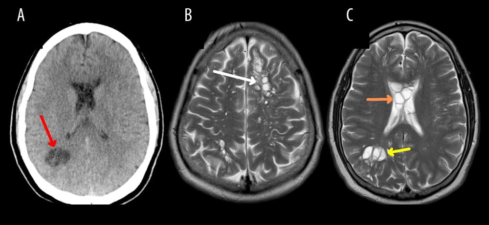
Последующее обследование с помощью компьютерной томографии и серологические анализы подтвердили появившиеся у медиков подозрения. В мозге у мужчины обнаружили скопление цист (яиц) ленточного червя Taenia solium, также известного как свиной цепень, или солитер.
Самый частый источник этой паразитарной инфекции — употребление в пищу недостаточно прожаренного мяса, зараженного личиночными цистами гельминта. Как раз в этой гастрономической привычке сознался больной.
Попав таким образом в организм человека, свиной цепень развивается и поселяется в верхней части тонкой кишки, где прикрепляется к слизистой оболочке присосками и крючьями. Эта кишечная форма называется тениозом. Паразит может вырастать до полутора-двух метров в длину и размножается, откладывая яйца либо сегменты тела с ними, которые выделяются из кишечника больного вместе с фекалиями. Заболевание лечится противопаразитарными препаратами.
Однако у пациента из США был уже не тениоз, а его осложнение — нейроцистицеркоз, при котором личинки свиного солитера, называемые цистицерками, из желудочно-кишечного тракта с кровотоком проникают в центральную нервную систему и головной мозг. Медики предположили, что заболевание развилось у мужчины в результате повторного самозаражения из-за плохой гигиены: он мог проглотить яйца паразита, не помыв тщательно руки после посещения туалета.

Нейроцистицеркоз часто проявляется в виде судорог, но в этом случае симптомом, побудившим врачей провести пациенту КТ-обследование, стало изменение характера и частоты мигреней. После постановки окончательного диагноза мужчине назначили лечение. Помимо противогельминтных средств альбендазола и празиквантела, он принимал стероидный противовоспалительный препарат дексаметазон для профилактики судорог и уменьшения отека головного мозга. Больной находился под тщательным наблюдением в отделении интенсивной терапии. После курса состояние пациента улучшилось, а головные боли ослабли.
Добавим, что нейроцистицеркоз — наиболее распространенная гельминтозная инфекция нервной системы и одна из основных причин эпилепсии в мире, особенно в развивающихся странах Африки, Азии и Латинской Америки. В развитых государствах заболевание чаще встречается среди иммигрантов и путешествующих в разные регионы мира.
В описанном случае у пациента из США не было недавних путешествий или контактов со свиньями на ферме. Поэтому в отчете, опубликованном недавно в American Journal of Case Reports, медики назвали наиболее вероятной причиной первичного заражения непрожаренный бекон и рекомендовали надзорным органам обратить на это внимание.



